Crowns
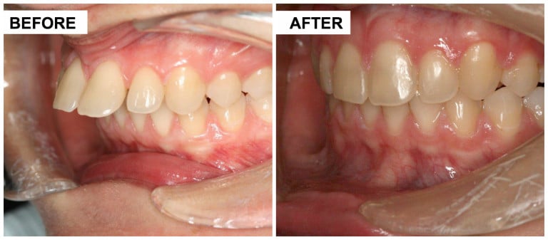
Case ID: 7910
The before/after photos below include a ¾ crown made and custom-stained here in the office, all on the same day. There was no temporary needed and the procedure conserved as much natural tooth structure as possible.
Case ID: 7910
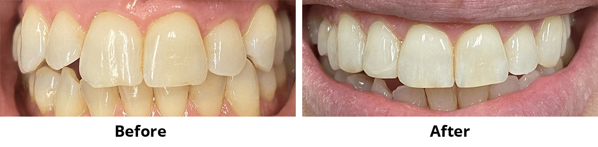
Case ID: 7911
Case ID: 7902
*All indicated fields must be completed.
Please include non-medical questions and correspondence only.
If you have an urgent dental need, requiring after hours attention, please call 203-746-1200, and you will be directed to a team member.
Office Hours for Appointments:
You may reach our front desk for appointments, or concerns, from 8:00am
Monday: 9am - 8pm
Tuesday: 10am - 8pm
Wednesday: 9am - 3pm
Thursday: Closed
Friday: Closed