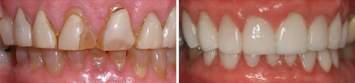
Veneers

Case ID: 7929

Individual results may vary.
View Angle: front
Before and After Image: Veneers - front

Other Veneers Patients

Contact Us

*All indicated fields must be completed.
Please include non-medical questions and correspondence only.

VISIT US TODAY

Our Office Location

contactus@mycandlewooddental.com

If you have an urgent dental need, requiring after hours attention, please call 203-746-1200, and you will be directed to a team member.

Accessibility Toolbar

Scroll to Top