Crowns and Veneers
Case ID: 8565
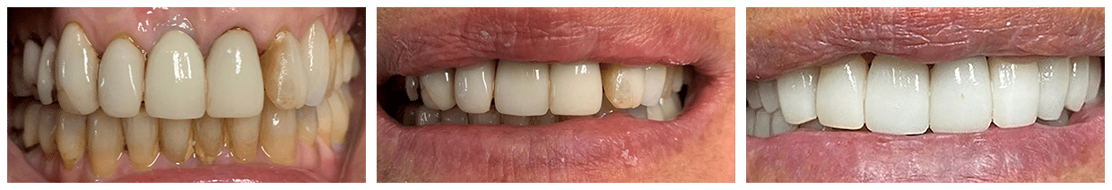
This case is a combination of crowns and veneers to enhance his smile from the effects of severe enamel wear into the dentin
Case ID: 8565
Case ID: 7922
Case ID: 7923
*All indicated fields must be completed.
Please include non-medical questions and correspondence only.
If you have an urgent dental need, requiring after hours attention, please call 203-746-1200, and you will be directed to a team member.
Office Hours for Appointments:
You may reach our front desk for appointments, or concerns, from 8:00am
Monday: 9am - 8pm
Tuesday: 10am - 8pm
Wednesday: 9am - 3pm
Thursday: Closed
Friday: Closed