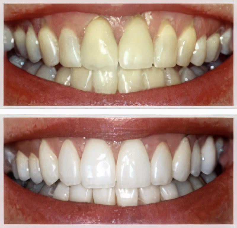
Enhance Your Smile With Teeth Whitening
Do you find yourself avoiding social situations because you are ashamed of how your teeth look? Over the years all of our teeth experience yellowing and staining, but certain habits can increase the rate of staining and yellowing. We can’t always change the fact that our teeth will yellow, but we can take preventative measures to make sure they can be bright and white on occasion. At My Candewood Dental, Dr. Lorraine Burio offers teeth whitening at her Fairfield County office to help improve how your teeth look and how you feel about them.
Cosmetic Dentistry In Fairfield County:

The causes of yellowed and stained teeth are many. Yellowing and staining come from drinking caffeinated beverages like coffee, from food residue, and from habits like smoking. There is a certain amount of staining and yellowing that occurs because of age; even our teeth get tired and can’t stay as white as they were when they were new.
Teeth whitening and other cosmetic dental procedures can help remove stains and enhance the overall appearance of your smile. If you don’t want to make an appointment or don’t feel as though your teeth require professional whitening, there are many different items that can help whiten your teeth that are easy to find on store shelves.
Your Options For A Brighter Smile:
Gels, toothpastes, and teeth trays are some common, in-home teeth whiteners that you can use on your own. If you feel like your teeth could benefit from a dental consultation and professional teeth whitening, there are easy ways to make this happen.
At the New Fairfield office of My Candlewood Dental, we offer a quick and effective in-office procedure. If you don’t want to be in the office for a teeth whitening session, your dentist can also give you an in-home set of instructions and supplies that you can use on your own time. Doing it yourself can take between two weeks and a month, because of some preliminary actions the dentist has to complete in order to make your at-home teeth whitening experience successful.
Remember that teeth whitening isn’t the same as practicing good oral hygiene. Keeping your teeth clean helps keep them white, and cutting back on certain things like coffee, cigarettes, and other staining materials can help keep your teeth white for longer. You should still maintain good brushing and flossing habits and go into the dentist for a yearly cleaning to make sure all is well in your mouth.

Schedule A Cosmetic Dental Visit In New Fairfield
If you’re considering a teeth whitening procedure in Fairfield County, CT, schedule an appointment with Dr. Lorraine Burio by calling: 203-746-1200 or click here.