Gum Disease Sherman Is Preventable with Good Dental Hygiene
Gum disease in Sherman affects more than just a few people. Gum disease is something than can affect many individuals regardless of how they take care of their mouth and teeth. Oral surgery is sometimes required for bad cases of gum disease, but most forms of gum disease are easily treated by a visit to your dentist or by taking some antibiotics. Read on to find out more about gum disease and what to do if it affects you.
Gum disease Sherman:
No one really wants the gory details of what gum disease can do to your mouth, but here is an overview of some of the more common gum diseases that affect people. Gum disease in Sherman can range from the mundane (some slight gum inflammation and sensitivity) to extreme when your jaw bone and teeth may have to be surgically replaced.
No one really wants the gory details of what gum disease can do to your mouth, but here is an overview of some of the more common gum diseases that affect people. Gum disease in Sherman can range from the mundane (some slight gum inflammation and sensitivity) to extreme when your jaw bone and teeth may have to be surgically replaced.
Gum disease is caused by bacterial buildup in your mouth and on your teeth. This is the plaque that covers your teeth that is easily gotten rid of by brushing and flossing. For people without consistent brushing and flossing habits plaque, and therefore bacteria, build up and create tartar which can only be removed by a dental cleaning.

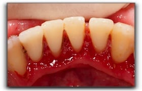
Gingivitis is likely the most common and well-known gum disease and is caused by excessive buildup of plaque and tartar. Gums will be highly sensitive in people with gingivitis and are likely to be red, swollen, and bleed when touched. Gingivitis is easily treated by improving your oral hygiene and going to the dentist for regular checkups and cleanings.
Gum disease in Sherman is preventable:
If gingivitis goes untreated it can cause a disease called periodontitis. This causes the gums to pull away from the teeth and form infected pockets around the teeth. This can lead to teeth and jaw bone damage quickly as your body tries to stop the bacterial infection, and without treatment periodontitis can lead to bone and the loss of teeth.

Factors that influence gum disease Sherman include smoke, hormonal changes, diabetes, certain medications, and genetics. Some people are more predisposed towards getting gum disease and should take extra care to know how they need to treat their teeth based on this knowledge.
Gum disease is more likely to affect men than women, although plenty of women struggle with gum disease as well. Early warning signs that gum disease might be setting in include abnormal redness and soreness of the gums, bleeding when brushing or flossing, and pain associated with eating, chewing or brushing and flossing. If you are experiencing any of these symptoms you might want to evaluate your oral hygiene habits and visit a dentist for a cleaning and a checkup before the situation grows too serious. Don’t mess with gum disease Sherman!