Dental Implants Sherman Can Help You Maintain Healthy Teeth and Oral Hygiene
Dental implants Sherman could prove to be the closest thing to natural teeth one can get. While dental care has improved by leaps and bounds in the past few decades, an enormous number of people are still losing teeth due to injury, tooth decay and gum diseases.
Try your dental implants in Sherman:
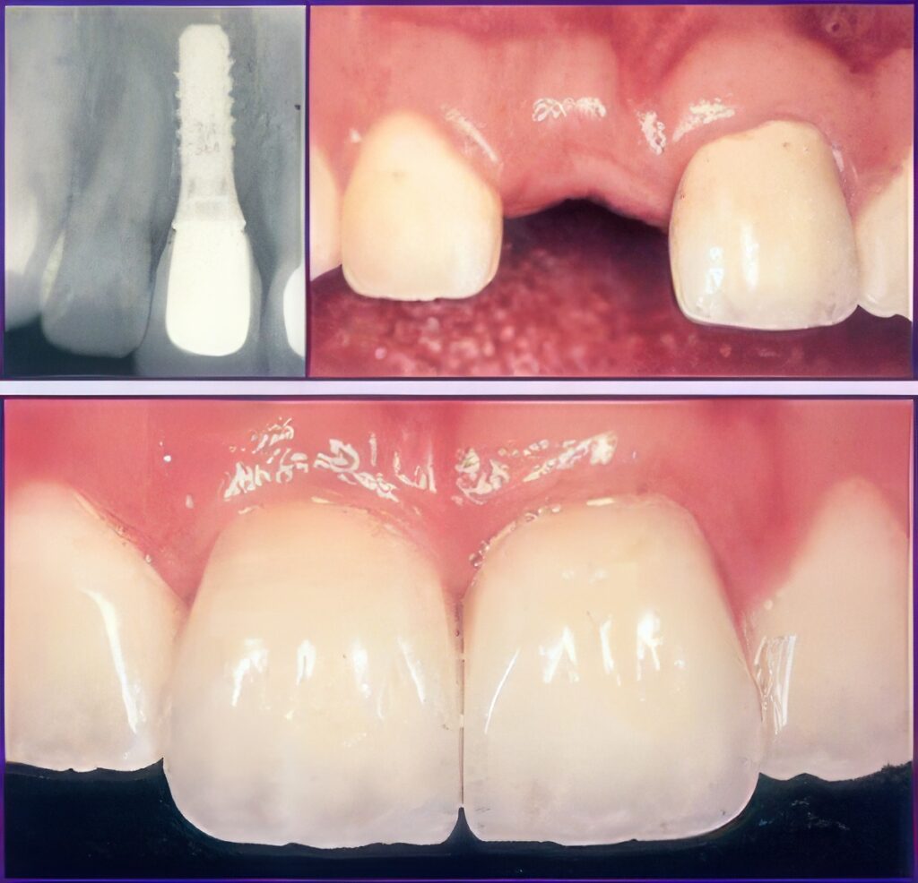
A missing tooth not only affects your eating habits, but can also deliver a blow to your self-esteem, especially if it’s one of the front teeth. Basically dental implants are root replacements that support dental prosthesis such as dentures, crowns or bridges.
There are two main criteria to consider while deciding if you’re a good candidate for dental implants in Sherman: your gum health and the amount of bone in your jaws. A patient should have healthy gums and enough bone to hold the artificial roots in place.
The procedure starts with developing a treatment plan to match your needs. Then an artificial root, which is a tiny post made of titanium, is installed in your jawbone. It takes 6 to 12 weeks for the bone to heal, and after that an abutment (a small connector post) is attached to securely hold the needed dental prosthesis.

The pros of dental implants Sherman:
The principal purpose of a dental implant is to serve as a solid base for fixed or removable prosthetic teeth. However, there are quite a few advantages for getting dental implants Sherman. As they look and feel like a natural tooth does, an artificial root gives you the chance to smile with confidence, in turn, boosts your self-confidence.
Whether you’re a carnivore or a hardcore vegan, chewing is an essential part of your eating experience. Replacement teeth function like your own so you can enjoy munching on your favorite food without worry or pain. With proper oral care artificial roots can last a lifetime. Dental implants in Sherman fuse with the jaw and become a permanent part of the oral cavity. Following good oral hygiene practices and paying regular visits to your dentist could make them endure.

Dental implants Sherman help you:
Missing a single tooth is just one of the reasons to consider getting a dental implant. An easy procedure, dental implants Sherman can help with various conditions.
The chance of having successful dental implants in Sherman vary based on the location of the implant in the jaw. In general a patient can expect up to a 98% success rate when getting dental implants in their mouths. Care should be taken to brush and floss replacement teeth regularly because they are, in short, as essential as your natural teeth. You’d also be right to visit your dentist regularly to make sure your implants remain in good condition.